在羊场管理中,及早识别母羊是否怀有双胎,对于分群饲养和营养精准配比具有重要意义。怀有双胎的母羊在妊娠后期对能量的需求远高于单胎母羊。通过羊用B超机进行早期筛查,可以有效避免因营养不足导致的羔羊初生重低,或因营养过剩造成的单胎母羊难产问题。

羊双胎检测的最佳时机
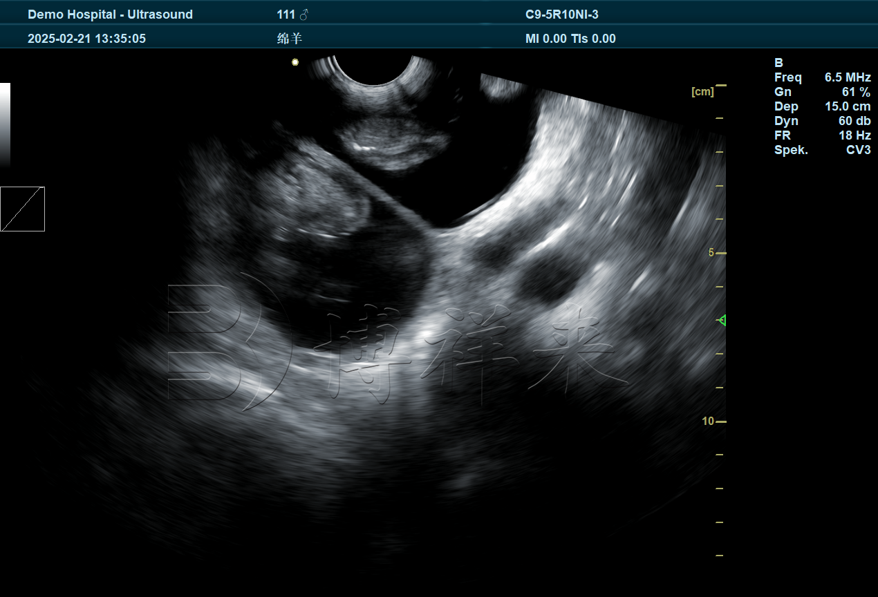
使用羊用B超机进行双胎鉴定,时间的记录至关重要。
- 早期诊断(35-45天): 这是检测双胎的理想窗口期。此时胎儿尚未完全长大,羊水充盈,技术员可以在一个视野内或通过轻微移动探头观察到两个独立的胎囊及胎心搏动。
- 后期局限性: 随着妊娠天数增加(60天以后),胎儿骨骼开始钙化,体积增大,在超声屏幕上往往只能看到胎儿的一部分,容易出现漏诊或误诊。
操作要点与影像观察
在使用博祥来羊用B超机进行实际操作时,建议采取以下步骤以提高准确性:

- 保定与涂抹耦合剂: 采取站立位或仰卧位保定,并在腹股沟无毛区涂抹足够的耦合剂,确保探头与皮肤接触良好,图像清晰。
- 多角度扫查: 检测双胎时不能仅看一侧。技术员应从子宫角的一侧缓慢滑向另一侧。
- 识别特征: 双胎影像: 屏幕上会出现两个清晰的圆形或椭圆形胎囊暗区,内部可见胚胎反射。
- 鉴别诊断: 需注意区分双胎与子宫内的褶皱或尿道影像。博祥来设备的灰阶显示较为细腻,有助于技术员分辨胎儿的胎心搏动。
为什么选择高性能的羊用B超机?
双胎检测对设备的图像分辨率要求较高。羊用B超机的性能直接影响到诊断的效率:
- 图像清晰度: 能够清晰分辨胎膜和胎儿肢体,减少因影像模糊导致的漏看。
- 便携与耐用: 羊场环境复杂,设备需具备良好的防尘防水性能,且整机轻便,方便技术员长时间持握操作。
- 续航能力: 针对大群羊只的筛查,稳定的电池续航是保证工作连续性的基础。
总结
准确掌握羊用B超机的操作技术,不仅能提升羊场的繁殖管理水平,还能直接降低饲养成本。通过对双胎母羊的精准筛选和加强饲养,可以显著提高羔羊的成活率和整齐度,从而为牧场带来更稳定的经济回报。