在规模化牛场的繁殖管理中,如何准确掌握母牛卵泡的发育情况,是提高配种成功率、缩短空怀期的关键。传统的直肠触诊虽然能够对卵巢进行初步判断,但往往难以做到精细化。而随着影像学技术的发展,牛用B超机已经成为检测母牛卵泡发育和卵巢功能的主要工具。

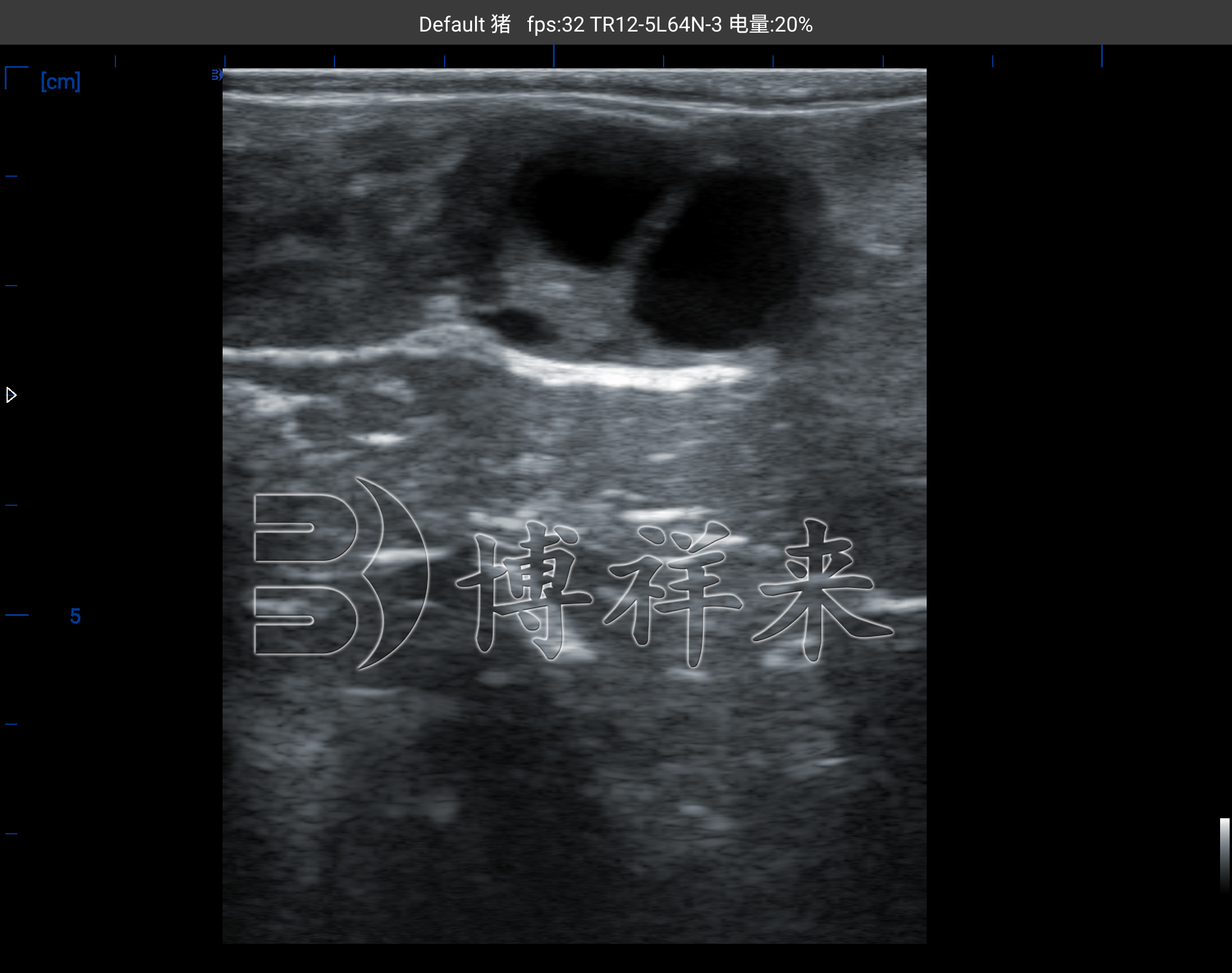
母牛卵巢中的卵泡在不同发育阶段有明显的超声图像特点:
小卵泡(直径2~5 mm):在B超下表现为卵巢表面的微小暗区,边缘不够规则,不易与周围组织区分。
中等卵泡(直径6~10 mm):圆形或椭圆形暗区更清晰,壁较薄,液腔透声性好。
优势卵泡(直径>10 mm):边界光滑清晰,液腔直径较大,是即将排卵的重要信号。
通过实时观察卵泡的大小、数量及动态变化,兽医能够准确判断母牛处于发情周期的哪个阶段。

确定最佳配种时间
当优势卵泡逐渐发育并接近排卵时,B超能直观显示其形态。结合黄体检测和行为学观察,可以更准确地把握授精时机,提高受孕率。
判断卵巢功能是否正常
在一些母牛中,可能出现卵泡囊肿或黄体持续不退的情况。B超能够帮助区分卵泡与囊肿,避免错误的繁殖管理决策。
辅助同步发情与超数排卵
在胚胎移植或繁殖计划中,常需进行超数排卵或同步发情处理。通过B超实时监测卵泡数量与大小,能帮助调整激素使用方案。
减少空怀天数:通过科学判断卵泡发育与排卵时机,能有效缩短母牛的空怀期。
提升配种成功率:避免盲目输精,降低冻精浪费。
提高繁殖效率:为规模化牧场的批次化管理和精准繁殖提供可靠依据。
牛用B超机在卵泡检测中,不仅帮助兽医掌握母牛卵巢的动态变化,还能为配种、胚胎移植及繁殖疾病的诊断提供科学参考。 对于现代化牧场而言,它已经从“检测是否怀孕的工具”,发展为“全面管理繁殖健康的重要助手”。